Kalp hastalıkları web sitemize hoşgeldiniz, 30 Nisan 2026
REKLAM ALANI
Güncel Konular
Süper yiyecek kavramı yeni bir kavram olmakla birlikte, minimum kalori ile maksimum besin sağlayan yiyecekler olarak bilinir. Kalp rahatsızlığı için kullanılan süper yiyecekler;  dolu dolu vitamin, mineral ve antioksidan barındırırlar....
Lipitler vücudun en mühim enerji deposudur. Ek olarak membran yapısına girerler, bazı vita­minlerin taşınmasını sağlarlar ve eikosanoid (prostaglandin, lökotirien) steroid hormonlar ve safra asitlerinin sentezinde rol oynarlar. Yağlar, damak zevki verir ve doygunluk hissini artırırlar. Plazma lipitleri...
Günümüzde besinlerin besleyicilik değerine dair her geçen gün yeni gerçekler ortaya çıkıyor. Kimi vakit bir şifa deposu olarak gördüğümüz bazı besinlerin düşünüldüğü kadar yararlı olmadığı ortaya çıkarken, zararı olan olarak...
Implantable Cardioverter Defibrillator (ICD) What is an ICD? An ICD (Implantable Cardioverter Defibrillator) is an implanted device (rather like a big pacemaker) that monitors the heart’s electrical rhythm in order...
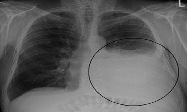
Kalp hastalıkları yaşamı tehdit eden hastalıklar sıralamasında ilk sırada. En sık görülenleri ise koroner arter hastalıkları, mitral ve aort kapak sorunları, aort genişlemesi ve kalp delikleri. Koroner arter hastalıkları by-pass...
Kurban bayramlarında sakatat, yoğun kolesterol içinde ne olduğu sebebiyle kalp hastalarına yedirilmemelidir İSTANBUL – Kamu Hastaneleri Birliği Çekmece Bölgesi Genel Sekreteri Prof. Dr. İhsan Bakır, kalp ve damar hastalarının azca...
Anjiyotensin 2 Alıcı Bloklayıcı Kalp İlaçları ( Ya da inhibitörleri ) nelerdir? (Ayrıca ARBs ya da anjiyotensin-2 alıcı antogonistleri olarak ta bilinirler) Also known as ARBs or Angiotensin-2 Receptor Antagonists) Anjiyotensin...
Sağlık Bakanlığı’ndan Maymun Çiçeği rehberi: Bilinmeyen her şey!DSÖ’nün Maymun Çiçeği virüsünün yayılmasını “uluslararası öneme sahip bir halk sağlığı acil durumu” olarak tanımasının ardından, Sağlık Bakanlığı da ”2024 yılı M Çiçeği...
Kardiyak Ölümleri Yılbaşı Zamanında Artışa Geçiyor… Kalp ilişkili ölümler yılbaşında artıyor ve soğuk ile ilgili olmadığını uzmanlar bildiriyor. Namık Kemal Üniversitesinde yapılan yeni çalışma ile yeniyılda ve yazın festival zamanlarında...